Masterpiece: Carlo Montesarchio
Ca lâm sàng của Carlo Montesarchio
Quy trình kỹ thuật cho việc chế tạo nguyên hàm răng giả trên và dưới


Bước 1 Lịch sử bệnh án
Bệnh nhân, một phụ nữ 58 tuổi, xuất hiện trong buổi thực hành của chúng tôi. Lịch sử bệnh án của cô ấy đã cho thấy sự hài lòng về sức khỏe chung. Trong suốt thí nghiệm lâm sàng, bác sĩ đã nhận thấy những khó khăn trong chức năng và câu nói đã có ảnh hưởng tiêu cực đến những mối quan hệ xã hội của cô ấy. Bệnh nhân muốn hoàn thành phục hình cho tình trạng răng miệng. Mục đích của việc phục hình là việc chế tạo răng giả toàn bộ để tối ưu hóa tính thẩm mỹ và hoàn thiện chức năng.


Bước 2
Kỹ thuật viên chế tạo những tấm nền cho khuôn cắn ở trên. Điều trị ánh sáng acrylic được sử dụng nhằm chế tạo khuôn cắn nền. Để tạo điều kiện cho việc kiểm soát sự so lại của vật liệu, quá trình này được thực hiện trong nhiều giai đoạn.

Bước 3
Lượng sáp cần cho răng được lấy ra từ vành răng và được thay thế bằng răng số 21.
Để có thể tiếp tục sử dụng những đánh dấu trong rìa cắn trong thiết lập răng cửa, Carlo Montesarchio luôn chỉ loại bỏ lớp sáp từ viền răng như được yêu cầu cho răng đã được thiết lập. Bằng cách này, hàm răng được định vị dần dần trong việc tối ưu hóa thời trang cho đến khi hàm răng cửa được thiết lập.


Bước 4
Răng số 33 và 43 được thiếp lập theo cách mà bề mặt vòm họng của răng nanh trên trượt trên răng nanh dưới, do đó tránh kẽ hỡ trên vùng răng nhai. Kết quả đạt được sự cân bằng thích hợp giữ răng móm (răng móm phía trước) và răng hô (răng hô phía trước).


Bước 5
Đánh giá mối quan hệ chuẩn xác giữa tính thẩm mỹ và chức năng.

Bước 6
Xác minh mối quan hệ chuẩn xác giữa tính thẩm mỹ và chức năng.


Bước 7
Sau khi hoàn thành hàm trên, thiết lập được thực hiện ở góc dưới, bắt đầu với răng 36 và xem xét phân loại góc cạnh. Răng 35 và 34 được định vị theo cách mà chúng đều có thể tiếp xúc với răng đối kháng. Về mặt này, cần lưu ý rằng răng nanh phía trên sẽ liên kết với vết nứt của hàm dưới.


Bước 8
Định hình quá trình hình thành ổ răng và đường viền nướu.
Để đạt được thẩm mỹ tối ưu, điều cần được chú trọng là gắn kết mép lợi của răng phục hình cũng như màu sắc tương ứng. Đường viền nướu được tạo hình trước để định hình hình thái học của nhú lợi và đường mép nướu tự nhiên nhất có thể.


Bước 9
Răng giả acrylic phía trên: đánh giá độ ăn khớp với sáp nền thiết lập sáp phía dưới trong khớp nối.
Các răng giả được mô phỏng bằng sáp được lần lượt đưa vào những bình chứa để có thể thực hiện việc tái thiết lập khớp nối trong mỗi trường hợp. Sau khi tách răng khỏi bình, răng giả sẽ được làm sạch và hoàn thiện, những tạp chất sẽ được loại bỏ.


Bước 10
Vành ngoài răng giả có bề ngoài tương tự với mô nướu với nguồn cấp máu tự nhiên, bởi vì bề mặt của nó có dạng giải phẫu như thể chúng được đan xen với mạch máu tự nhiên.


Bước 11
Đặc tính hóa vành răng giả được tiến hành bằng cách sử dụng nhựa composite. Các lớp nhựa acrylic được bỏ đi có chủ đích và thay thế bằng vật liệu nhựa composite để định hình sự chuyển tiếp giữa nướu và niêm mạc ổ răng. Đánh bóng răng giả được thực hiện theo hai giai đoạn: sử dụng máy đánh bóng hoặc sử dụng dụng cụ cầm tay trong khu vực làm việc.


Bước 12
Đặc tính hóa vành răng giả với vật liệu nhựa composite.


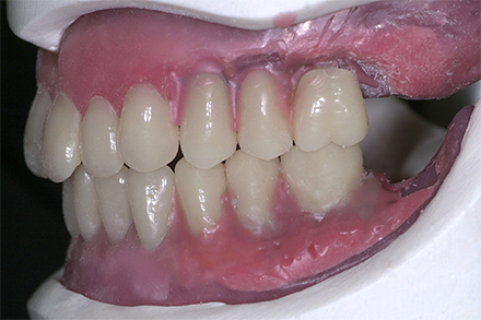
Bước 13
Hàm răng giả cuối cùng ở trong miệng bệnh nhân.
Tiêu chuẩn đánh giá hàm răng giả phụ thuộc vảo quan điểm cá nhân của người quan sát. Mặc dù việc mất răng tự nhiên là không thể thay đổi, nhưng tác động tiêu cực vào bệnh nhân có thể được giảm bớt bằng cách này.


Bước 13
Hầu hết những bệnh nhân đều mong muốn có một hàm răng trắng, thẳng đều và không có hư tổn nào. Ngoài việc khôi phục chức năng nhai, học viên và kỹ thuật viên nha khoa ngược lại cũng nên chú ý việc khôi phục màu, cấu trúc bề mặt, đặc tính và hình dạng giải phẫu theo cách mà răng và mô trông tự nhiên và chân thật nhất có thể.